Befestigung leicht gemacht
Unsicher bei der Zementauswahl oder einfach wissbegierig? Erfahren Sie, wie sich Befestigungsworkflows vereinfachen und Prozesse in der Praxis rationalisieren lassen – beginnend mit dem Materialbestand.
3M™ RelyX™ Universal Befestigungskomposit kann alleine als selbstadhäsiver Befestigungszement und in Kombination mit 3M™ Scotchbond™Universal Plus Adhäsiv für die adhäsive Befestigung eingesetzt werden. Durch die gemeinsame Verwendung entfällt das aufwändige und umständliche Arbeiten mit mehreren Befestigungskompositen, Primern und Adhäsiven. Das vereinfacht Ihre direkten und indirekten Workflows in der restaurativen Zahnheilkunde. Sie müssen weniger Produkte lagern und nachfüllen und sparen so Platz, Zeit und Geld.

Ein neuartiger Initiator ist der Schlüssel für die hervorragende selbstadhäsive Haftkraft von RelyX Universal Befestigungskomposit auf Dentin. So ist es für die meisten Indikationen zuverlässig geeignet, ohne Kleber und Primer. Sowohl licht- als auch selbsthärtend.

Der hervorragende selbstadhäsive Verbund von RelyX Universal Befestigungskomposit wird durch Scotchbond Universal Plus Adhäsiv noch verstärkt.

Effizient bis zuletzt. Die einzigartige chemische Zusammensetzung von RelyX Universal Befestigungskomposit sorgt dafür, dass überschüssiges Material an den Restaurationsrändern verbleibt und nach der Anhärtung / nach 2-3 sec. Lichthärtung leicht entfernt werden kann.
Überzeugen Sie sich von der Effizienz und hohen Haftfestigkeit, die 3M™ RelyX™ Universal Befestigungskomposit im klinischen Einsatz bietet. Erfahren Sie, wie ein universelles Befestigungskomposit Ihren Arbeitsablauf vereinfachen und Ihnen dabei helfen kann, praktisch jede Indikation für adhäsive und selbstadhäsive Befestigungskomposite souverän zu bewältigen.

Ressourcenschonende Anwendung in jedem Schritt der Befestigung von Veneer und Krone. Abbildungen mit freundlicher Genehmigung von Dr. Paulo Monteiro

Hervorragende Haftfestigkeit im Einsatz für die sichere Befestigung von Inlays und Onlays. Abbildungen mit freundlicher Genehmigung von Dr. Akit Patel

Die einzigartige, selbstverschließende 3M™ Automix™ Spritze sorgt dafür, dass jeder Befestigungsvorgang (Kronen und Brücken eingeschlossen) hygienisch abläuft - von der Applikation bis zur Reinigung. Abbildungen mit freundlicher Genehmigung von Dr. Andreas W. Benecke

Dieser dünne und biegsame Elongation Tip erleichtert die Applikation des Materials in den Wurzelkanal. Abbildungen mit freundlicher Genehmigung von Dr. Giuseppe Chiodera
Indikationen für 3M™ RelyX™ Universal Befestigungskomposit


Für praktisch alle Materialien, einschließlich Glaskeramik, Zirkoniumoxid, Metalle und Materialien auf Composite-Basis

Begutachtet von Style Italiano
Lesen Sie die ausführliche Bewertung von 3M™ RelyX™ Universal für:
„Quantensprung bei Handhabung und Verarbeitung!“
Anonyme Umfrage unter Zahnärzten über RelyX™ Universal, Deutschland

In einer klinischen Bewertung des Dental Advisors erhielt 3M™ RelyX™ Universal Befestigungskomposit:
Klinische Erfahrung mit 3M™ RelyX™ Universal
123 Zahnärzte aus fünf Ländern haben in einem von 3M durchgeführten klinischen Anwendungstest den 3M™ RelyX™ Universal Befestigungskomposit verwendet. Die Universalität des Systems wurde von den Teilnehmern in vollem Umfang genutzt. 3.806 Restaurationen aus dem gesamten Indikationsspektrum wurden sowohl adhäsiv mit dem 3M Scotchbond Universal Plus Adhäsiv als auch selbstadhäsiv mit dem RelyX Universal Befestigungskomposit eingesetzt.

Praktisch keine postoperativen Sensitivitäten
99 % der Zahnärzte stellten keine postoperativen Sensitivitäten fest.

98 % der Zahnärzte waren sehr zufrieden
oder zufrieden mit dem Zement-
system insgesamt.

95 % der Zahnärzte stimmten zu, dass der universelle Charakter von 3M™ RelyX™ Universal Befestigungs- Komposit hilft, Lagerbestände zu reduzieren und Kosten zu sparen.

97% der Zahnärzte stimmten zu, dass der Umgang mit nur einem universell einsetzbaren Produkt im Vergleich zu mehreren Befestigungsmaterialien für das Praxispersonal leichter ist.
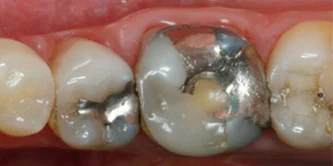
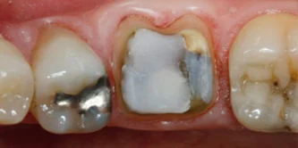
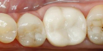
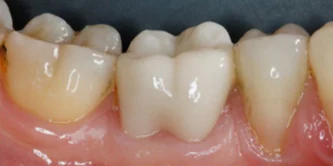
Klinische Fallstudie: Selbstadhäsive Zementierung einer Zirkoniumoxidkrone

Ausgangssituation.

Ausgangssituation (bukkale Ansicht).

Vorbereitung.

Sandstrahlen.

Ausgangssituation.

Überschussentfernung.

Definitive Versorgung.

Endsituation (bukkale Ansicht).

Klinische Zahnmedizin und Fotografie von:
Dr. Gunnar Reich, München, Deutschland
Zusätzliche Vorteile und Eigenschaften von 3M™ RelyX™ Universal Dental Befestigungskomposit
Mit dem patentierten 3M-Design erreicht die Applikation von Automix- Zementen die nächste Stufe. Entwickelt unter Berücksichtigung Ihrer Bedürfnisse für problemloses Ausbringen, Reinigen und Aufbewahren. Die kleine 3,4 g- Spritze bietet ausreichend Material für ungefähr 15 Applikationen bei nur geringem Materialverwurf.

Die einzigartige RelyX™ Universal Micro-Mischkanüle sorgt für 80 % weniger Zementabfall*. Die ergonomische 3,4 g-Spritze liefert die gewohnte Anzahl von Anwendungen, jedoch mit 50 % weniger Kunststoffabfall*.
* pro Anwendung im Vergleich zu derzeit verfügbaren Standard-Automix-Systemen

Der RelyX™ Universal Micro-Mischkanüle wird direkt nach dem Gebrauch entfernt und ermöglicht so eine hygienische Lagerung ohne verwendete Mischkanüle. Die Spritze wird durch einen einzigartigen Mechanismus mittels Ventil sauber verschlossen.


Erhalten Sie eine einfache Step-by-Step Anleitung zur Verwendung von 3M™ RelyX™ Universal für adhäsive und selbstadhäsive Indikationen.
Hier finden Sie alle Details zu 3M™ RelyX™ Universal, einschließlich: Klinische Erfahrung, Chemische Zusammensetzung, Ästhetische Eigenschaften, Röntgenopazität und vieles mehr.

Ein echtes Zwei-Komponenten-System, für praktisch alle indirekten und direkten Befestigungsindikationen.
Zusätzliche Informationsmaterialien für 3M™ RelyX™ Universal Befestigungskomposit
Um das Ergebnis des allein oder in Kombination mit dem Universaladhäsiv verwendeten Kompositzements bei verschiedenen Indikationen und verschiedenen Aushärtungsmodi zu bewerten, wurden vor der Produkteinführung zahlreiche In-vitro-Studien durchgeführt.
Verschaffen Sie sich mit unserer 4-seitigen Broschüre einen Überblick über die Vorteile von 3M RelyX Universal.
Verwandte Dentalzemente
Ihr Komposit für einfache Verarbeitung, Komfort und Zuverlässigkeit. Dank der dualhärtenden, selbstadhäsiven Chemie bieten RelyX Unicem Zemente eine hohe Adhäsion, Farb- und Langzeitstabilität und mehr.
Ketac Cem Plus kunststoffmodifizierter Glasionomerzement bietet die perfekte Kombination aus Komfort und bewährter klinischer Leistung. Mit hoher Haftkraft und praktisch keinen postoperativen Sensitivitäten sorgt er für optimale Ergebnisse bei Routinezementierungen.
Andere verwandte Produkte
Das erste röntgenopake Universaladhäsiv mit dem sich das Risiko von röntgenologischen Fehldiagnosen sowie Überbehandlungen minimieren lässt.
RelyX Fiber Post ist ein komplettes System zur Unterstützung und Sicherung der koronalen Restauration bei unzureichender Restzahnsubstanz (<4mm).
Die Elipar DeepCure LED-Polymerisationsgeräte sorgen für eine Aushärtung, der Sie vertrauen können, selbst bei tiefen Restaurationen.
Unser innovatives A-Silikon zeichnet sich durch eine extrem kurze intraorale Abbindezeit aus. Der Schlüssel dazu ist die aktive Selbsterwärmung, eine einzigartige, von 3M entwickelte chemische Reaktion.