RelyX™ Unicem 2 Selbstadhäsiver Komposit-Befestigungszement
Der klinisch bewährte permanente Befestigungszement. Abgestimmt auf die Anforderungen Ihrer Praxis und die Bedürfnisse Ihrer Patienten!
Der klinisch bewährte permanente Befestigungszement. Abgestimmt auf die Anforderungen Ihrer Praxis und die Bedürfnisse Ihrer Patienten!
Hohe Farbstabilität, natürliche Ästhetik, optimale Haftwerte auf Dentin und Schmelz:
Die leistungsstarke RelyX Unicem-Technologie wurde nicht umsonst vielfach international preisgekrönt. Die ausgezeichneten mechanischen Eigenschaften, die Feuchtigkeitstoleranz sowie viele weitere Vorzüge machen den RelyX Unicem 2 Selbstadhäsiven Komposit-Befestigungszement zum festen Bestandteil des Praxisinventars.
Er ist dualhärtend, ist als Überschuss leicht zu entfernen und verringert die Wahrscheinlichkeit postoperativer Sensibilitäten. Als Automix-Spritze ist er dazu noch überaus zeitsparend und praktisch und bietet eine gute Handhabung, flexible Dosierungsmöglichkeiten, breite Kanülenwahl, optimale Konsistenz sowie einfaches Applizieren direkt in die Kavität.
Die Vorteile von RelyX™ Unicem 2 selbstadhäsivem Komposit-Befestigungszement

Einfache und zeitsparende Lösung in einem Schritt. Es sind nur wenige Arbeitsschritte erforderlich. Ätzen, Primen und Bonden entfallen. Lichthärtende oder selbst aushärtende Chemie.

Optimale Konsistenz für Dosierung und Platzierung. Einfache Applikation der Paste direkt in die Kavität mit der Automix-Spritze. Geringes Risiko von Luftblasen und Hohlräumen.

Für die 1593 Restaurationen, die mit RelyX Unicem 2 Automix Zement eingesetzt wurden, wurden in einem Feldversuch nur 0,25 % (4) Sensitivitäten gemeldet.

RelyX Unicem selbstadhäsiver Komposit-Befestigungszement ist das ideale Produkt für eine breite Palette von Indikationen. Ideal für allgemeine Zementierungsfälle in Ihrer täglichen Praxis.
Empfohlene Anwendungen
Zur definitiven Zementierung von Inlays, Onlays, Kronen und Brücken (Vollkeramik, Komposit, Metall) Wurzelstifte
Zwei- oder dreigliedrige Maryland-Brücken (Selektive Schmelzätzung vorgeschrieben)
Dreigliedrige Inlay- / Onlaybrücken (Selektive Schmelzätzung vorgeschrieben)
Vollkeramik-, Komposit- und Metall-Restaurationen auf Implantat-Abutments
Applikationsformen
- Ideal geeignet für Inlays, Onlays, Kronen und Stifte
- Hygienische Einzeldosis
- Gleichmäßige Mischung mit jedem Mischgerät
- Elongation Tip für die nahezu hohlraumfreie Zementierung von Stiften
- Erfordert die Verwendung von 3M™ Aplicap™ Aktivator/Applikator
- Bestens geeignet für mehrgliedrige Brücken
- Hygienische Einzeldosis
- Gleichmäßige Mischung mit jedem Mischgerät
- Erfordert die Verwendung von 3M™ Maxicap™ Aktivator/Applikator
- Geeignet für Restaurationen in jeder Größe
- Wählen Sie die Dosiermenge – eine 8,5-g-Spritze ergibt etwa 15 Anwendungen
- Einfache und zeitsparende Lösung in einem Schritt ohne Mischgerät, Aktivatoren oder Hilfsmittel
- Erhältlich mit einer Standard Mischkanüle für die Appliklation des Zements in die Restauration und einer breiten Mischkanüle für das Aufstecken des Intraoral-Tips oder des Endo-Tips.
- Geeignet für Restaurationen in jeder Größe
- ca. 40 Anwendungen
- Zeitsparend, einfach und hygienisch in der Handhabung
- Kein Mischgerät, Aktivator, Aufsätze oder Mischkanülen erforderlich
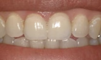
Klinische Fallstudie: In wenigen Schritten zu ästhetischen Restaurationen.
Der Patient wünschte sich für die Zähne 11 und 21 eine schönere Form und ein ästhetischeres Erscheinungsbild.
Präparierte Stümpfe mit Hohlkehle und supragingivaler Präparationsgrenze. Stumpffarbe ermitteln.
Temporäre Versorgung nach Einsendung von Digitalscans an das Labor.
Fertige Restaurationen auf einem digital hergestellten Modell.

Nach der Einprobe wird die Innenseite der Krone mit 30 oder 50 μm Aluminiumoxid mit einem Druck von 2 bar gestrahlt, um eine matte Oberfläche zu erhalten. Wenn die Krone vom Labor sandgestrahlt wurde, nach der Einprobe mit fünfprozentiger Natriumhypochloritlösung reinigen, mit Wasser abspülen und lufttrocknen

Füllen der Krone mit Zement (bis etwa zur Hälfte).
Einsetzen der Kronen, ohne den Zement abzuwischen/zu verschmieren: Für ~2 Sekunden lichthärten, dann den Überschuss entfernen. Danach jede Oberfläche 20 Sekunden lang lichthärten.
Restaurationen eine Woche nach der Befestigung.
Klinische Zahnmedizin und Fotografie von:
Dr. Daniel J. Poticny, Zahnmedizinische Fakultät der Universität Michigan, USA
Erfahren Sie mehr über RelyX™ Unicem 2
Erhalten Sie eine klare Schritt-für-Schritt-Anleitung zur Anwendung von RelyX™ Unicem 2 für VMK- und Zirkonoxid-Kronen.
Lesen Sie diese Studie, die die Effektivität der Zementierung von Lava™ Zirkonoxid-Restaurationen mit RelyX™ Unicem selbstadhäsivem Komposit-Befestigungszement und das Auftreten von Sekundärkaries untersucht.
Vertiefen Sie Ihre Kenntnisse – mit Experten aus der Branche

Stift und Stumpfaufbau Verfahren mögen wie eine einzige große Herausforderung erscheinen, aber in Wirklichkeit bestehen sie aus vielen Kleineren. Sehen Sie sich an, wie Sie mit ein paar einfachen Anleitungen einige der Variablen kontrollieren und Ihren Erfolg sichern können. Autor: Prof. Stefan Vandeweghe, DMD, PhD
Autor: Prof. Stefan Vandeweghe, DMD, PhD
Zusätzliche Informationsmaterialien für RelyX™ Unicem 2 selbstadhäsiver Komposit-Befestigungszement
Unser Leitfaden zur Zementauswahl hilft Ihnen bei der Auswahl des richtigen Zements.
Alles, was Sie über 3M RelyX Unicem 2 wissen müssen finden Sie hier der informativen Brsochüre.
Erfahren Sie mehr über die Materialeigenschaften und die klinische Leistung von 3M RelyX Unicem 2 Automix.
Verwandte Befestigungsmaterialien
3M RelyX Universal Befestigungskomposit ist ein Komposit-Befestigungsmaterial mit Zwei-Pasten-Rezeptur für praktisch alle selbstadhäsiven und – in Kombination mit 3M™ Scotchbond™ Universal Plus Adhäsiv – adhäsiven Indikationen für dualhärtende Befestigungszemente. Es ist in einer ergonomisch geformten Spritze mit Micro Mix erhältlich.
Ketac Cem Plus kunststoffmodifizierter Glasionomerzement bietet die perfekte Kombination aus Komfort und bewährter klinischer Leistung. Mit hoher Haftkraft und praktisch keinen postoperativen Sensitivitäten sorgt er für optimale Ergebnisse bei Routinezementierungen.




