Dentale Komposite
Als zuverlässiger Hersteller im Bereich der Komposit-Füllungsmaterialien bietet Ihnen Solventum eine Reihe von Restaurationsmaterialien, die für eine zuverlässige klinische Leistung stehen.
Als Zahnarzt möchten Sie Ihren Patienten schöne und langlebige Restaurationen bieten.
Als Zahnarzt möchten Sie Ihren Patienten schöne und langlebige Restaurationen bieten.

Fällt es Ihnen schwer, das richtige Komposit auszuwählen? Suchen Sie nach einfacheren, schnelleren Workflows?
Die meisten Tage vergehen wie im Flug und Sie und Ihr Team sind froh, wenn alle Termine wie geplant verlaufen. Was würden Sie zu einem Komposit sagen, das Ihnen helfen könnte, Ihren Tag in die Hand zu nehmen? Was, wenn die Herstellung hochästhetischer und langlebiger Restaurationen viel einfacher und schneller wäre?


Bewährte Vorteile von 3M™ Filtek™ Kompositen für Ihre individuellen Anforderungen

Mit unserer 3M Filtek™ Familie können Sie für jede Patientensituation das richtige Komposit wählen – von hochästhetisch bis hin zu schnell & einfach.

Die patentierte ECHTE Nanotechnologie von 3M lässt sich leicht polieren und behält ihren natürlichen Glanz besser bei als andere Komposite.

In einem Vergleichstest war die Biegefestigkeit gleich oder besser als bei anderen führenden Kompositen.
Wählen Sie das passende Kompositmaterial für Ihren Bedarf
Effizienz
3M™ Filtek™ One Bulk Fill Komposit
Entwickelt, um Seitenzahnrestaurationen schneller und einfacher zu machen! Seine einzigartigen optischen Eigenschaften und die verbesserte Opazität ermöglichen eine einfache Applikation in einem Schritt – bis zu 5 mm – ohne Kompromisse bei den ästhetischen Behandlungsergebnissen.
Suchen Sie ein fließfähiges Komposit?
Sagen Sie auf Wiedersehen zu Blasen im fließfähigen Komposit.
Blasen in fließfähigen Kompositen können die Behandlung erschweren. Aus diesem Grund hat Solventum eine neue ergonomische Spritze entwickelt, die Blasen nahezu eliminiert.
Das Design unseres neuen Spritzensystems der fließfähigen Komposite 3M™ Filtek™ Supreme Flowable und 3M™ Filtek™ Bulk Fill Flowable hilft Ihnen dabei, Blasen praktisch zu eliminieren und Materialverwurf zu reduzieren. Und das Schönste ist: dies alles gelingt jetzt auch mit geringerem Kraftaufwand und beinhaltet eine einzigartige Konsistenz durch Fließfähigkeit in Verbindung mit Standfestigkeit.
» Dental Advisor hat Filtek Supreme Flowable Restorative eine klinische Bewertung von 96 % gegeben. «
Die TRUE Nanofiller-Technologie sorgt für eine homogene Verteilung der Partikel. Im Gegensatz dazu weisen die meisten anderen Komposite – einschließlich Mikro- und Nanohybride – größere Partikel auf, die bei Abrasion eine deutliche Rauigkeit bewirken. Das bedeutet, dass Ihre Restaurationen über Jahre hinweg ihren natürlichen Glanz behalten.
Unsere Komposite: Filtek Supreme XTE, Filtek Universal, Filtek One Bulk Fill, Filtek Supreme Flowalbe und Filtek Bulk Fill Flowable.
Entwickelt für Ihren Erfolg im direkten Workflow.
Adhäsive spielen bei direkten Kompositrestaurationen eine entscheidene Rolle. Vertrauen Sie auf den Erfinder des Universaladhäsivs und entdecken Sie unser Angebot an Adhäsiven.
Eine ästhetische Füllung beginnt mit der Auswahl des richtigen Komposits. Mit unserer Filtek™ Komposit-Familie wählen Sie immer das richtige Komposit für Ihre Indikation – von hochästhetisch bis hin zu schnell und effizient.
Wissen Sie, wie lange Sie mit Ihren individuellen Lampen lichthärten müssen, um ein Komposit-Inkrement sicher - auch in der Tiefe - auszuhärten? 3M nahm sich dieser Herausforderung an. Die 3M™ Elipar™ DeepCure LED-Polymerisationsgeräte sorgen für eine zuverlässige Aushärtung, auch in der Tiefe.
Korrektes Konturieren, Finieren und Polieren sind entscheidend für ein lang anhaltendes ästhetisches Ergebnis. Unsere Scheiben, Streifen und Polierräder sind in verschiedenen Größen und Körnungen erhältlich.

ÜBER 1 MILLARDE FILTEK FÜLLUNGEN WELTWEIT*
Seit mehr als 50 Jahren vertrauen Zahnärzte auf der ganzen Welt auf die Marke Filtek bei Komposit-Füllungen - Tendenz steigend.
* 3M interne Daten
Tauchen Sie ein wenig tiefer – mit Einblicken von Branchenexperten


Einer der Vorteile der Verwendung einer einzigen Kompositfarbe bei einem restaurativen Verfahren besteht darin, dass sich der Zahnarzt auf die Form des Zahns konzentrieren kann, die für das endgültige ästhetische Behandlungsergebnis entscheidend ist.
Dr. Jordi Manauta, Italien
Weitere Details und klinische Fallbeispiele

Eine Sammlung von 9 klinischen Fällen mit Filtek-Kompositen

Die neuesten Filtek-Komposite sind für die Erwärmung zugelassen und das bringt einige Vorteile.
Lesen Sie hier darüber.
![]()
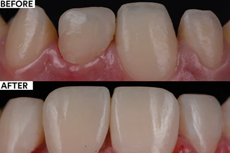
Behandelnder Zahnarzt und Fotografie: Dr. Paulo Monteiro
Andere Komposite
3M™ Filtek™ Z500 Universal Komposit
Filtek Z500 Universal Komposit ist kein gewöhnliches Produkt, aber es ist perfekt für den täglichen Gebrauch.
3M™ Filtek™ Z250 Universal Komposit Filtek
Z250 ist das millionenfach bewährte Universalkomposit mit zuverlässiger Hybridtechnologie von 3M.
3M™ Filtek™ Seitenzahn-Komposit
Filtek P60 ist ein stopfbares Komposit für den Seitenzahnbereich.















