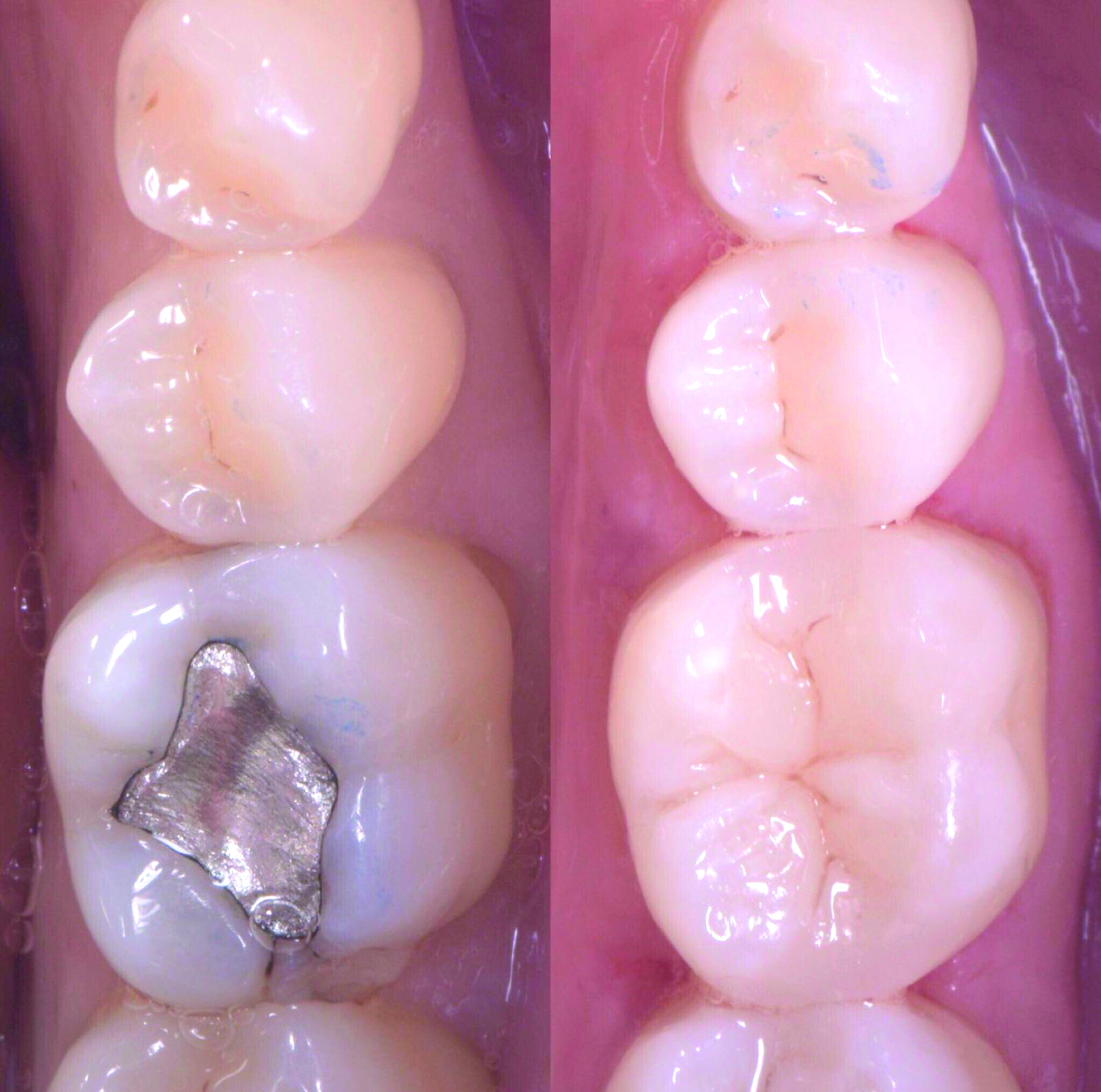
Austausch einer Amalgamversorgung durch eine Füllung mit 3M Filtek Komposit.
Dr. Thomas Taha
Amalgam-Alternativen
Die Minamata-Konvention zu Quecksilber ist ein globaler Vertrag, der im Oktober 2013 vom Vereinigten Königreich und über hundert Ländern aus der ganzen Welt unterzeichnet wurde, um die menschliche Gesundheit und die Umwelt vor den schädlichen Auswirkungen von Quecksilber zu schützen.
Als Ergebnis dieses Abkommens wurde Amalgam in vielen Branchen verboten. Anstelle eines vollständigen Verbots wurde für die Zahnmedizin allerdings eine „Auslaufphase“ eingeräumt. Ab Juli 2018 wurde die Verwendung von Amalgam im Vereinigten Königreich für Kinder unter 15 Jahren und für schwangere oder stillende Frauen verboten. Somit besteht Bedarf an einem Amalgam-Ersatzmaterial.
Derzeit steht kein Material zur Verfügung, das die gleichen Eigenschaften wie Amalgam bietet. Wahrscheinlich wird es dieses Material auch niemals geben. Es ist unwahrscheinlich, dass wir jemals wieder eine Metalllegierung in der Füllungstherapie einsetzen werden. Gewünscht ist aber ein Material, das sich in einem Schritt einbringen lässt, schnell und einfach anzuwenden ist, gute physikalische Eigenschaften bietet und kariostatisch wirkt. Neben dem Bedürfnis, diese Amalgam-typischen Eigenschaften zu übernehmen, könnten wir die Wunschliste auch noch erweitern und sowohl die Fähigkeit der Selbstadhäsion als auch ästhetische Eigenschaften aufnehmen.
Zahnfarbene Restaurationsmaterialien wurden erstmals in den 1960er Jahren in Form von dualhärtenden Komposit-Systemen (Paste / Paste) verwendet. Zu diesem Zeitpunkt bestand die Option der Lichthärtung noch nicht. Die Materialien wurden demnach in einer bestimmten Schichtstärke in die Kavität eingebracht und härteten dann von selbst aus. Die physikalischen und ästhetischen Eigenschaften dieser frühen Füllungsmaterialien waren eingeschränkt. Die intensive Forschung und Entwicklung der vergangenen 50 Jahre in dem Bereich der Füllungsmaterialien hat jedoch inzwischen Materialien hervorgebracht, die viele der anfänglichen Probleme überwunden haben.
Bis vor Kurzem hielt sich jedoch ein Problem recht hartnäckig: das der Polymerisationsschrumpfung. Wir haben gelernt, mit ihr umzugehen. Im Frontzahnbereich ist die Schrumpfung selten ein Hindernis, aber in klassischen kastigen Kavitäten im Seitenzahnbereich (Klassen I und II) kann sie zu großen Problemen führen. Mit einer Schichttechnik im Fischgrätenmuster unter Verwendung geringer Mengen an Komposit kann es gelingen, den durch die Schrumpfung ausgelösten Stress zu minimieren. Dies bringt uns zum eigentlichen Problem der Schrumpfung: Anstelle der Schrumpfung selbst ist der durch sie ausgelöste physikalische Stress unser Feind. Durch Schrumpfungsstress entstehen Zugkräfte an unserer Adhäsivschicht, die sich in einigen Fällen komplett vom Zahn lösen kann. Das kann zu Microleakage führen, die wiederum Sekundärkaries und Sensitivitäten verursachen kann. Höckerbewegungen können ebenfalls Stress auslösen, der in vielen Fällen zu Schmelzrissen und manchmal sogar zu Höckerfrakturen (und -versagen) führen kann.
Fließfähige Bulk Fill-Komposite waren wohl die ersten verfügbaren Materialien, die in gewisser Weise eine Stressreduktion anstrebten. Durch die Erhöhung ihrer Transluzenz wurde es auch möglich, größere Aushärtetiefen zu realisieren als mit verfügbaren pastösen Kompositen. Rund zehn Jahre nach ihrer Einführung haben Bulk Fill-Komposite tatsächlich ihren Platz in der Zahnheilkunde gefunden und sie werden von vielen Zahnärzten als Liner und Füllungsmaterial in schwer restaurierbaren Seitenzahnkavitäten sehr geschätzt.
Da sie von Natur aus fließfähig sind, bieten diese Materialien allerdings nicht die hohe Festigkeit des durchschnittlichen pastösen Komposits – aus dem einfachen Grund, dass der Füllkörpergehalt geringer ist. Um eine vollständige Aushärtung in größeren Schichtstärken (in der Regel rund 4 mm) sicherzustellen, sind diese Materialien in der Regel besonders transluzent. Transluzenz ist eine in für die Lichthärtung positive Eigenschaft, die sich aber negativ auf die Ästhetik auswirken kann. So erscheinen Füllungen aus besonders transluzenten Materialien häufig gräulich.
Eine einfache Lösung für beide Einschränkungen – Festigkeit und Transluzenz – ist die Überkappung der Restauration aus fließfähigem Komposit mit einer mindestens 2 mm starken Schicht aus normalem (pastösen, nicht fließfähigen) Komposit.
Diese Schicht bietet dann die gewünschte Festigkeit sowie zahnähnliche optische Eigenschaften. Durch die Deckschicht wird allerdings im Prinzip wieder eine Restauration aus zwei Schichten aufgebaut. Wünschenswert wäre stattdessen ein Material, das wirklich in einer Schicht anzuwenden ist und damit auch weniger techniksensitiv wäre.
Durch die Einführung von 3M™ Filtek™ One Bulk Fill Komposit steht seit 2017 ein solches Material zur Verfügung. Es handelt sich um das bisher vielseitigste Bulk Fill-Komposit, das dank verschiedener bahnbrechender Innovationen einfach und schnell in Kavitäten zum Einsatz kommen kann, in denen bislang Amalgam das Material der Wahl gewesen ist.
- Aufgrund einer angemessen hohen Transluzenz lässt sich Filtek One in Schichstärken von bis zu 4 mm in Kavitäten der Klasse I und bis zu 5 mm in Kavitäten der Klasse II sicher aushärten. Während der Aushärtung verändert sich der Lichtbrechungsindex des Komposits. Dies führt dazu, dass die Restauration ähnlich opak wird wie eine klassische Kompositversorgung. Aufgrund der intelligenten Transformation von transluzent zu opak ist das Material für den Front- und Seitenzahnbereich geeignet.
- Filtek One ist das einzige Bulk Fill-Komposit mit 100 % Nanofüllern. Die Nanocluster sorgen für die im Seitenzahnbereich benötigte Festigkeit sowie für ein angemessenes Verschleißverhalten. Untersuchungen zum Verschleiß von Kompositen mit Nanofüller-Technologie zeigen, dass dieser über einen Zeitraum von fünf Jahren mit dem von Schmelz vergleichbar ist.
- Filtek One enthält ein neues Kunststoffmolekül, das AFM-Monomer (Addition Fragmentation Monomer). Diese clevere Innovation steuert gegen, wenn bei der Polymerisation im Material zu starke Spannungen entstehen. Bei zu hohem Stress brechen die Monomere physisch auseinander und Spannungen werden abgebaut. Anschließend fügen sich die Moleküle in einer stressärmeren Ausrichtung wieder zusammen.
- Filtek One ist nicht nur BPA-frei, sondern auch frei von BPA-Derivaten.
Mit hervorragenden optischen Eigenschaften, einem ausgezeichneten Langzeit-Verschleißverhalten und einer stressreduzierenden Zusammensetzung ist Filtek One Bulk Fill Komposit möglicherweise die beste derzeit verfügbare Alternative zu Amalgam. In Kombination mit 3M™ Scotchbond™ Universal Plus Adhäsiv (dem ersten röntgenopaken Universaladhäsiv) eingesetzt, können Sie sich darauf verlassen, dass auch an kariös verändertem, remineralisiertem Dentin eine sichere Haftung erzielt werden kann.
Während Bulk Fill-Komposite viele der gewünschten Eigenschaften eines Amalgam-Ersatzmaterials bieten, gibt es einige Situationen, in denen ein Komposit-Füllungsmaterial nicht geeignet erscheint. In diesen Situationen ist ein Glasionomer-Füllungsmaterial die nächstbeste Wahl. Glasionomer-Füllungsmaterialien sind selbstadhäsiv, in einem Schritt verarbeitbar und Amalgam in Sachen Ästhetik überlegen. Ihre Verschleißfestigkeit und die Langlebigkeit der Restauration sind allerdings nicht vergleichbar. 3M™ Ketac™ Universal Glasionomer-Füllungsmaterial ist ein röntgenopakes Glasionomer-Füllungsmaterial mit hoher Festigkeit, das zwei entscheidende Vorteile bietet: Es kann ohne Konditionierung der Kavität und ohne Coating bzw. Schutzlack angewendet werden. Damit ist das Material weniger techniksensitiv als andere Glasionomer-Füllungsmaterialien und zeitsparender in der Anwendung.
Der letzte relevante Punkt, den es bei der Versorgung von Kavitäten im Seitenzahnbereich zu beachten gilt, ist die Feuchtigkeitskontrolle durch entsprechende Isolierung des Arbeitsfelds. Die Trockenlegung kann zur Herausforderung werden; idealerweise sollte diese mit Kofferdam und Matrizensystem erfolgen. Diesen Punkt zu diskutieren, würde zu weit führen. Literatur zum Thema ist jedoch in großem Umfang verfügbar.
Geht es um die Kontrolle von Feuchtigkeit und Blutungen, kann Zahnärzten zufolge der Einsatz von 3M™ Adstringierender Retraktionspaste hilfreich sein. Vornehmlich für die Retraktion der Gingiva vor der Abformung entwickelt, kann die adstringierende Retraktionspaste auch bei der Präparation von Kavitäten der Klassen II und V sinnvoll eingesetzt werden. Sie ermöglicht ein zuverlässiges Gingivamanagement und wirkt hämostatisch, während die Präparation gut zugänglich bleibt und die Feuchtigkeitskontrolle machbar erscheint.
Dies schlussfolgerte Dr. Dawett in einer Veröffentlichung (Gingival Control, The Dentist, 98, March 2017).

Wie zu Beginn des Artikels erwähnt, fehlt es derzeit an einer echten Amalgam-Alternative. Möglicherweise wird es eine solche auch niemals geben. Neuste Weiterentwicklungen im Bereich der Komposit- und Glasionomer-Füllungsmaterialien haben uns jedoch einer geeigneten Lösung nähergebracht. Zudem bringen sie uns auch einen Schritt weiter in der Suche nach dem ultimativen Restaurationsmaterial für den Seitenzahnbereich.
Amalgamersatz mit 3M Filtek Komposit.
Abbildung mit freundlicher Genehmigung von Dr. Thomas Taha BDS(Qub) MJDF RCS(Eng)





