
Clinical Case: Stabilizing Complex Cases with Single Shade Composites
Using 3M™ Filtek™ Universal Restorative and 3M™ Filtek™ Supreme Flowable Restorative.
About the Case
One of the benefits of using a single shade of composite in a restorative procedure is that it allows the clinician to focus on the shape of the tooth which is critical to the final esthetic outcome.
The patient was unhappy with the results of previous orthodontic and restorative treatments and expressed a desire for a more esthetic outcome. A diagnostic and aesthetic assessment were the first stages in the treatment of is complex case.

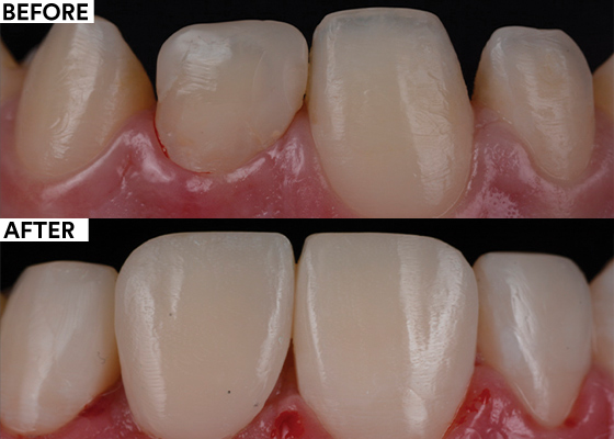
Pre-operative esthetics.
Three months after crown lengthening bone surgery, patient is ready for restorative treatment.


Completed color selection with direct mock-up using the “button technique.”
Another approach to shade selection is to “try in” the composite by simulating the thickness, opacity, and color on the tooth to be treated. It is important that the teeth stay hydrated during this procedure as desiccated teeth appear much whiter than they otherwise would.


Conditioned existing restoration by sandblasting with 29 micron aluminum oxide.
Etched bonding surfaces with 3M™ Scotchbond™ Universal Etchant and rinsed with water after 15 seconds. Then applied 3M™ Scotchbond™ Universal Adhesive, rubbed for 20 seconds, air-thinned for 5 and light cured for 10.


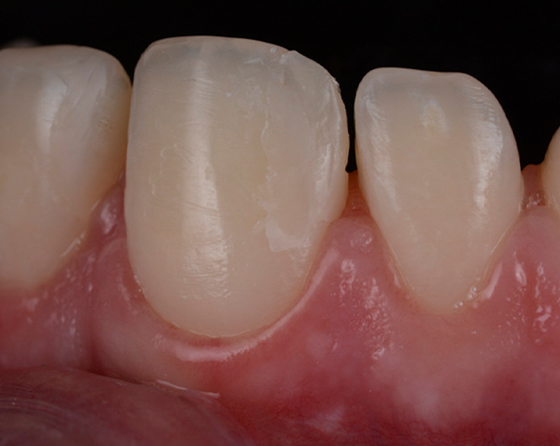
Used the “Front Wing” technique to create cervical contour, emergence profile, and tooth dimensions. Used 3M™ Filtek™ Universal Restorative, Shade A1.
After matrix removal, both distal and mesial contours are optimized.


Pre-finished composite before beginning construction of neighboring teeth.
Corrected small defects with 3M™ Filtek™ Supreme Flowable Restorative, Shade A2.


Protected neighboring tooth with matrix while placing 3M™ Scotchbond™ Universal Etchant.
Modeled the buccal area of the tooth using a wide instrument designed for direct veneers (SOLO Anterior, LM Instruments, Finland).


Finished backfilling the front-wing matrix.
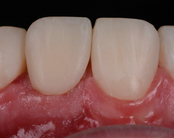
Restored left canine and premolar using same technique as central incisors, focusing on shape and contours.


Restoration after rubber dam removal.
Finishing and polishing completed using 3M™ Sof-Lex™ Diamond Polishing System!





